厉害了!我院又双叒叕成功为一超高龄患者实施腹腔巨大肿瘤切除术
近日,我院胃肠外科成功为一名超高龄老人实施腹腔巨大肿瘤切除术手术,成功解除疾病对患者带来的痛苦。
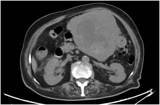
92岁的夏奶奶因“腹痛、腹胀伴食欲减退”至大丰某医院就诊,CT检查提示:上腹腔占位,增强CT提示肝胃间隙巨大占位,MT可能。外院考虑手术风险极大,建议至我院就诊。
入住我院胃肠外科后,副院长、胃肠外科主任医师单保安带领医疗组即对患者进行了全面检查,考虑腹腔巨大肿瘤已对患者产生压迫症状,手术治疗是解除痛苦的最佳方案。结合患者年龄及高血压、冠心病、糖尿病等既往病史,入院后相关检查提示严重电解质紊乱、心肺功能差,对麻醉及手术、手术围术期管理是一个巨大的挑战,存在不可预估等潜在风险,随时有危及生命可能。经过与病人家属详细沟通,家属从犹豫不决到坚定信心:“我们相信专家的判断,同意手术治疗!”
随后,院内肿瘤科、心内科、麻醉科、ICU、营养科、影像科、呼吸科等多学科立即进行讨论,就患者病情,各科就各自领域提出专业性意见,明确提出风险防范措施,共同制定手术方案,最终决定在全麻下行剖腹探查术,加强术中监测,争取将风险降至最低。经过完善的术前检查及准备,单保安带领胃肠外科医疗组在麻醉科医生团队的协作下,顺利完成手术,术中明确为巨大的胃间质瘤,予以完整摘除。术后在医护及家属的共同努力下,患者逐渐康复,恢复饮食。
此次手术的成功开展,离不开医生团队的精湛技艺,同时也体现了我院多学科之间的紧密配合,充分发挥各自的力量,为病人解除病痛,谋取健康。未来,医院将进一步推广这种多学科诊疗模式,为疑难疾病患者寻找更多的治疗机会。


用户登录
还没有账号?
立即注册