我院超声科与妇产科合作开展新技术——超声引导下经阴道卵巢囊肿穿刺治疗术
卵巢囊肿在妇科临床中极为常见,任何年龄均可发病,但以生育期常见,囊肿过大可引起压迫症状易发生扭转。手术是治疗卵巢囊肿的有效手段,对于术后复发,药物治疗无效且不愿意手术的患者,超声引导介入治疗是一种简单经济、行之有效的微创治疗方法。
54岁的虞女士,体检发现盆腔内有约6cm×4cm大小的卵巢囊肿,由亲友介绍就诊我院超声科。超声科姜建军主任召集科室业务骨干,并邀请妇产科杨秀萍主任、钱存燕医师一起会诊,决定于元月26日下午在超声引导下给患者行经阴道卵巢囊肿穿刺硬化治疗术,整个手术过程仅半小时,患者术后即走回病房, 28日上午患者出院回家。
介入性超声在妇产科领域中的应用日趋普及,因它能使许多妇产科疾病在创伤极小的情况下达到诊断和治疗的目的,为临床提供了不可低估的实用价值。经阴道内超声介入引导下穿刺治疗卵巢囊肿,是在实时超声显像的监视下将穿刺针刺入囊性病变中心,将囊腔内的液体抽吸干净,再注入聚桂醇使囊壁上的腺体及细胞的蛋白凝固、变形、细胞被破坏,产生无菌炎症,从而使囊腔凝固、硬化、粘连闭合,达到治疗的目的。该方法具有微创、安全、并发症少、可反复多次进行手术、易被患者接受等优点。
本次超声引导下经阴道卵巢囊肿穿刺治疗术的成功开展,体现了我院多科合作能力在不断提升,为本地区治疗盆腔囊性病变又开辟了一条新的道路,开创了我院超声介入手术的新篇章。

超声科、妇产科配合默契

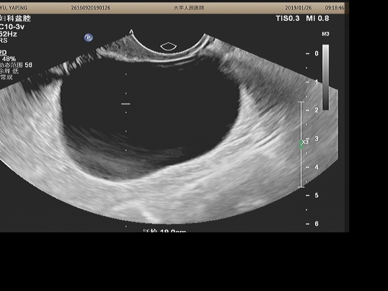
手术前卵巢囊肿

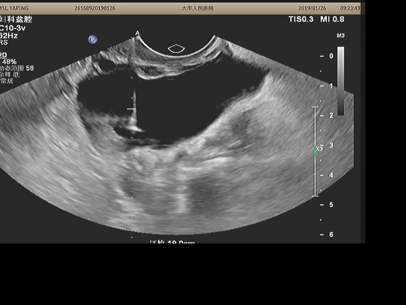
超声监视下将穿刺针刺入囊性病变中心抽吸囊液

手术后的盆腔

抽取的卵巢囊肿内的透明液体

用户登录
还没有账号?
立即注册